Cosmetic Dentistry
Creating Bright & Healthy Smiles In Monroe, Louisiana
Cosmetic dentistry is a great way to elevate your smile’s appearance as well as its health and function. Whether you are looking to straighten your smile, replace missing teeth or correct a small chip or crack, Dr. Eddleman and the team at Eddleman Dental look forward to helping you achieve a straight, uniform and natural-looking smile. We are proud to offer a full range of cosmetic dentistry services for a broad range of needs.
What Are The Benefits Of Cosmetic Dentistry?
While you may think the goal of cosmetic dentistry is straight, white teeth, there are many more reasons that patients may seek out these services. In addition to approving the aesthetic appearance of your smile, these services can help create a healthier, more long-lasting smile that allows you to eat and speak with ease. Some of these benefits are:


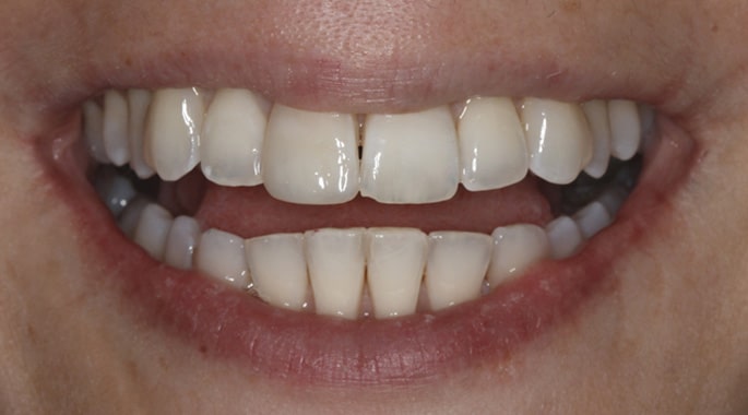
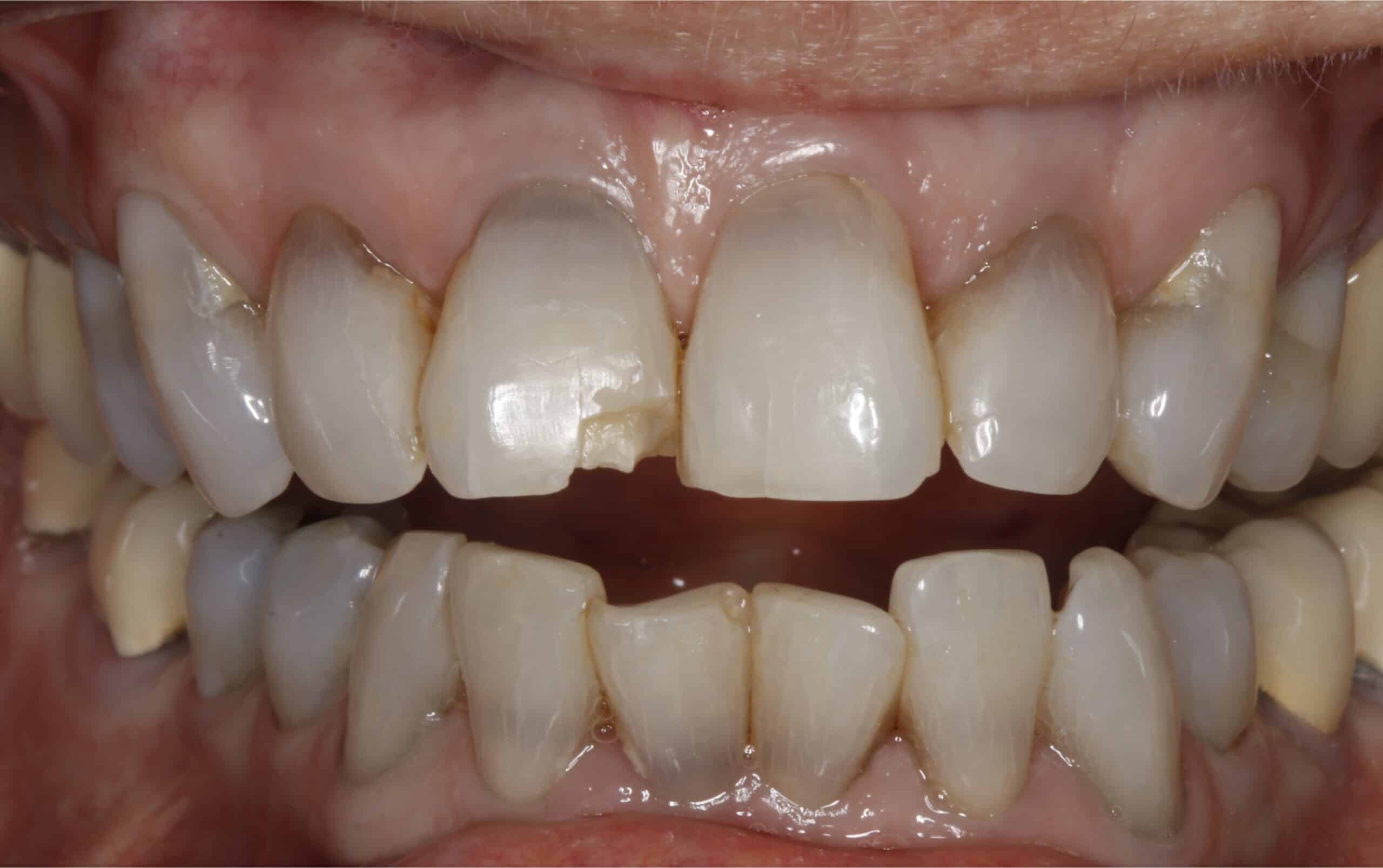
Check out this before and after of an Eddleman patient who received emergency cosmetic dentistry after a tubing accident!


Check out this before and after of an Eddleman patient who received cosmetic bonding tooth repair!
Our Cosmetic Dentistry Services
We are proud to offer a range of cosmetic dentistry services that are fully customizable for your specific needs and treatment goals. Our services include:

Invisalign®
Invisalign® aligners are made of a smooth, medical grade plastic that is transparent and less visible on your smile—other people won’t be able to tell you are even wearing them. With their flexible material and removable design, eating, drinking and keeping up your oral hygiene routine is a breeze. These clear aligners offer our patients a comfortable, discreet and efficient method of orthodontic treatment, resulting in a natural-looking smile made just for you!

Dental Implants
Dental implants are artificial tooth roots that are surgically implanted into the jawbone to provide a stable foundation for replacement teeth. These replacement teeth can be individual crowns, bridges or even dentures. The implants are made of titanium, a material that will fuse with the surrounding bone, preserving the jaw bone and preventing further bone loss. In addition to restoring the smile, implants can improve your ability to chew and speak.

Dentures
Dentures are the traditional method of replacing missing teeth and the surrounding tissues. A denture will look and function like your natural teeth, allowing you to eat, speak and smile with ease. Made of acrylic resin or metal, dentures can either replace all of the teeth or some natural teeth. At Eddleman Dental, we offer several different types of dentures, including conventional, immediate, complete or partial dentures and implant-secured dentures.

Dental Crowns
Also known as a cap, a dental crown covers a damaged tooth in order to protect it from further damage, restore its function and enhance its appearance, giving you your smile back. Patients with decayed, chipped, stained or otherwise damaged teeth may need a dental crown, which looks and functions just like your other teeth. At Eddleman Dental, we offer two types of dental crowns: in-office crowns (CEREC) and traditional dental crowns.

Dental Bridges
A dental bridge replaces one or more missing teeth by “bridging” the space between two natural teeth or dental implants. It consists of artificial teeth, called pontics, which are anchored on either side by crowns or abutments. These crowns are placed on the natural teeth or dental implants adjacent to the space left by the missing teeth. There are different types of dental bridges, including traditional, removable or implant-secured options.

Teeth-In-A-Day

Porcelain Veneers
Porcelain veneers are thin, ceramic shells that are bonded to the tooth’s surface. They are made of ceramic material and are an easy, versatile solution to many common dental problems including chipped, cracked, discolored, damaged or misshapen teeth. Dr. Eddleman offers several types of porcelain veneers to meet your specific cosmetic goals for your smile, including traditional, Lumineers dental veneers and Durathin Prepless Veneers.

Cosmetic Recontouring
We offer cosmetic recontouring, also known as enameloplasty, to help reshape and contour your smile. Cosmetic recontouring reshapes the enamel to correct several possible issues or imperfections you may have with your teeth. It is a quick, easy fix for chipped teeth, uneven teeth and irregular teeth.

Teeth Whitening
Teeth whitening removes stains and discoloration to make your teeth whiter, which helps you achieve a brighter and more confident smile. Additionally, teeth whitening gives the appearance of a healthier mouth, which can also boost your self-esteem. Our teeth whitening options include both in-office and at-home systems.
Frequently Asked Questions About Cosmetic Dentistry
For your convenience, we have outlined answers to some frequently asked questions about our cosmetic dentistry services below.
Get Started On Your Smile Transformation
Our cosmetic dentistry services offer something for every patient. To begin your journey to a confident, healthy smile, complete our online appointment request form or call our Monroe, LA office at (318) 322-2013.

Comprehensive Dental Care You Can Trust
Your Smile, Our Passion
Our friendly, welcoming team at Eddleman Dental is proud to offer a near-zero wait time with high-quality results using our advanced technology. We treat patients of all ages, and we love getting to know our patients and treating them like family.
visit us
Monday – Thursday
8:20 a.m. – 4:45 p.m.

