Smile Transformations
See Real Patients’ Journeys from Start to Stunning
At Eddleman Dental, we’re passionate about creating beautiful, lasting smiles. On this page, you’ll find a collection of smile transformations achieved by Dr. Eddleman and our skilled team. Each before-and-after photo showcases our commitment to personalized care and exceptional results. Whether it’s enhancing alignment, brightening or rebuilding, our transformations are designed to boost confidence and restore natural beauty. Explore these stories to see what’s possible with expert care and a tailored approach to your unique smile goals. Ready to start your journey? Request an appointment today!
Restoring Confidence with Cosmetic Bonding


See how our team helped this patient restore their smile after a tubing accident with emergency cosmetic dental care! This transformation highlights our commitment to providing immediate, compassionate care that brings back comfort and confidence.
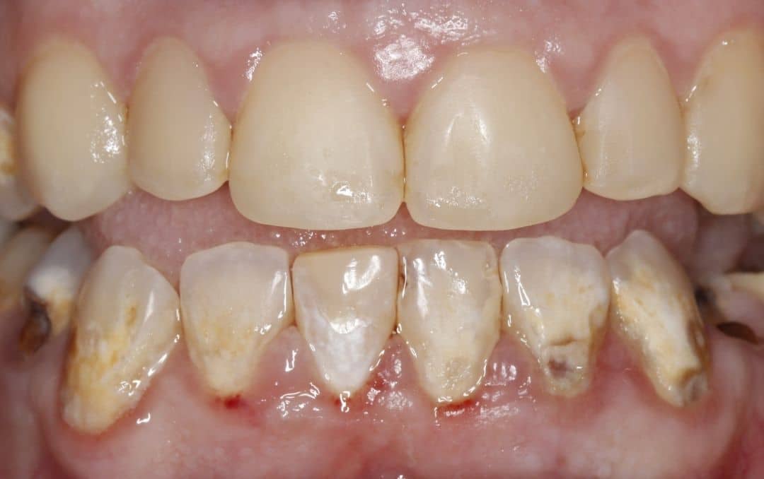
Emergency Dental Care After an Accident


Take a look at the impressive improvement achieved through cosmetic bonding! This approach focused on restoring tooth structure while enhancing overall oral health, showing significant progress toward a healthier, more confident smile.
Health-First Transitional Bonding for Lasting Results


This case shows free-handed transitional bonding. At Eddleman Dental, we tailor our care to each patient’s unique goals, timeline and budget. Here, reducing gum inflammation and removing decay improved health as we work toward a fully restored smile.
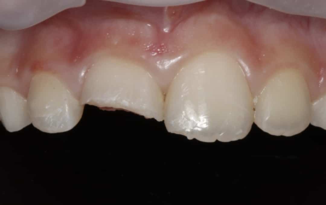
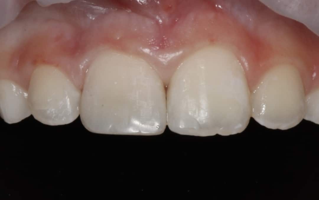
Emergency Tooth Repair When Your Smile Needs It Most


This patient came to us after chipping a large portion of their front tooth. With expert care and a precise restoration, our team restored both the tooth and their confidence, leaving them with a seamless, natural-looking smile!
Fixing Bites With Veneers


This patient came to Eddleman Dental with an open bite that made it difficult to achieve a confident, natural smile. With expertly crafted veneers, Dr. Eddleman was able to transform their bite and create a beautifully balanced, seamless smile.

Comprehensive Dental Care You Can Trust
Your Smile, Our Passion
Our friendly, welcoming team at Eddleman Dental is proud to offer a near-zero wait time with high-quality results using our advanced technology. We treat patients of all ages, and we love getting to know our patients and treating them like family.
visit us
Monday – Thursday
8:20 a.m. – 4:45 p.m.

